Autoritățile au confirmat un focar de boală legionară în zona centrală de afaceri (CBD) din Sydney, Australia, în perioada 13 martie – 5 aprilie 2025. Până în prezent, au fost raportate 12 cazuri, dintre care unul fatal. Victima, un bărbat în vârstă de 69 de ani, a decedat săptămâna trecută la spital, conform unui comunicat al Departamentului Sănătății din New South Wales.
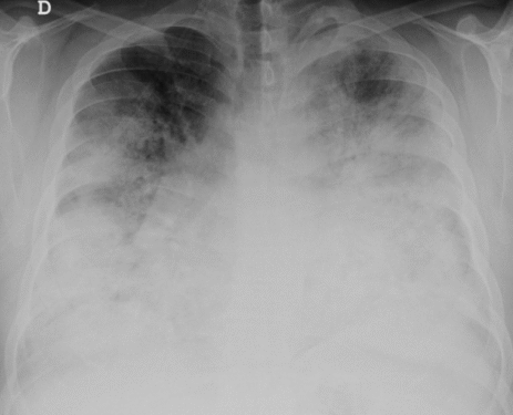
Boala legionară este o infecție pulmonară gravă cauzată de bacteria Legionella pneumophila. Aceasta se transmite prin inhalarea de vapori sau aerosoli de apă contaminată, provenind de obicei din sisteme de climatizare, turnuri de răcire sau fântâni decorative. Simptomele includ febră, frisoane, tuse, dificultăți de respirație și, în cazuri severe, pneumonie.
Analizele genomice au identificat o sursă comună de contaminare în zona CBD din Sydney. Patru dintre cazuri au fost asociate cu o sursă de apă de răcire contaminată, iar un alt caz a fost infectat cu o tulpină similară. Alte cazuri nu au avut probe viabile pentru analiza genomică.
Autoritățile din NSW colaborează cu Consiliul orașului Sydney pentru a inspecta turnurile de răcire și a revizui istoricul de întreținere al acestora. Se recomandă proprietarilor de clădiri să asigure funcționarea și întreținerea corespunzătoare a sistemelor de răcire, conform reglementărilor în vigoare.
Persoanele care au vizitat zona CBD din Sydney în perioada menționată și prezintă simptomele descrise sunt sfătuite să consulte un medic. Tratamentul prompt cu antibiotice este esențial pentru prevenirea complicațiilor grave.
Pentru informații suplimentare și recomandări, vizitați site-ul oficial al Departamentului Sănătății din NSW.













